Published inAnalytics VidhyaRevisiting A*- A simple strategy gameTurn based action in SPACE!Dec 20, 2020Dec 20, 2020
Published inThe StartupDecision Trees Made Simple, Part IIImplementing decision trees with PythonDec 16, 2020Dec 16, 2020
Published inAnalytics VidhyaDecision Trees made simple, Part IFirst Entry in Basics of Machine LearningNov 16, 2020Nov 16, 2020
Published inAnalytics VidhyaThe world of AnalyticsGoing beyond Iris-Setosa and the Titanic classificationOct 25, 2020Oct 25, 2020
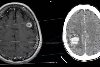
Published inAnalytics VidhyaRoboDoc , using Machine Learning to detect brain tumorsAI and medicine applicationsSep 5, 2020Sep 5, 2020
A little fun with TkinterPython is truly a versatile language. While I mostly use it as a study platform to learn machine learning, analytics and artificial…Aug 17, 2020Aug 17, 2020
An the Results Are…In my last entry , I discussed the ins and outs of my Naive Bayes Algorithm. This week we talk about the last stage in the Analytics…Aug 2, 2020Aug 2, 2020
Guess we ought to talk codeMy first entry enjoyed good acceptance on the people who read it , but the common theme was to ask about the “how” as much as the “what”…Jul 26, 2020Jul 26, 2020